脂肪肝
脂肪肝在中国成年人中普遍存在且发病率逐年上升,十年间从15%增加到31%!但很多人身患脂肪肝却不自知,或知道了也不当回事,在不知不觉中让脂肪肝变身为癌症。我们又对它存在哪些误解?该如何破除这些误区、不再继续癌变之路呢?
原来,这种“神秘疾病”就是脂肪肝!脂肪肝的脂肪堆积在肝细胞内,而不是包裹在肝脏外。中国人群中,四个人当中就有一个脂肪肝患者,但是很多人不重视脂肪肝,最终导致肝癌发生。

左边是正常肝脏,右边是被脂肪覆盖的肝脏
误区一
轻度脂肪肝不会变成癌
很多人认为,重度脂肪肝才有变成肝癌的风险,轻度脂肪肝不用太在意。其实并不完全是,虽然大多数肝癌都是乙肝造成的,但随着生活水平的提高,脂肪肝发生肝癌的人开始出现,并越来越多。轻度脂肪肝也能直接癌变。

脂肪从胃肠道吸收而来,脂类物质从血管进入肝脏,和肝脏合成的载脂蛋白结合,形成脂蛋白进入人体的血液循环中,脂肪不会在肝脏堆积,这是一个正常的过程。如果人体摄入过多的脂肪,肝脏合成的载体蛋白不够脂类物质利用的时候,脂类物质就在肝脏内堆积,开始形成脂肪肝。
肝脏检查指标1:转氨酶
脂肪堆积在肝细胞中,肝细胞出现炎症,炎症会导致一些肝细胞的坏死,转氨酶是肝细胞合成的,肝细胞坏死后,转氨酶扩散,进入血液中,如果检测到血液中转氨酶高了,就代表体内有肝细胞的坏死,也表示肝脏受损害了。谷丙转氨酶、谷草转氨酶、转肽酶都代表肝脏受损害程度的指标,转氨酶值大于40,提示肝脏受损害了,值越高,肝脏受损程度越重。
肝脏检查指标2:硬度
肝脏的硬度就是肝脏的纤维化程度,肝脏不断出现炎症反应,重复坏死增生,慢慢就出现纤维化,再慢慢硬化,发生肝癌。硬度值越高,肝脏的硬化程度越高。

脂肪肝的轻、中、重,是超声的影像检查结果,只能作为医生评估病情的参考之一,而不能拿来下诊断,因为肝脏的实际损伤程度,和脂肪肝的轻中重并不成正比,不管您查出了何种程度的脂肪肝,都应进一步结合抽血中的肝功能检查,看看有无转氨酶、转肽酶的异常升高以及瞬时弹力指数的异常,来确定自己的肝脏功能的好坏,必要时还要根据医生指导接受CT甚至有创的穿刺检查,才能最终确定肝癌风险。
误区二
酒精性和非酒精性脂肪肝危害一样
专家告诉我们一个最新的研究结果——哪怕一滴酒,也会直接伤肝!非酒精性脂肪肝只是脂肪堆积对肝脏的损害,而酒精性脂肪肝除了形成脂肪的堆积之外,还有酒精直接对肝细胞的损害,两种损害同时作用在肝脏上,可以说,一次大酒就是一次急性肝炎的过程,不断反复,就会慢慢形成酒精性肝硬化。
脂肪肝恶变过程
1)单纯性的脂肪肝
脂肪在肝脏堆积,首先形成单纯性的脂肪肝,影像表现出肝实质的密度衰减,但属于可逆的状态,经过饮食、运动的调整可以恢复正常。
2)脂肪型肝炎
进入脂肪性肝炎,肝脏出现炎症,肝脏细胞的坏死,这时候没有太多的症状,可能仅是血清里转氨酶的升高,想逆转,很难,如果及时打断,不排除有恢复的可能。

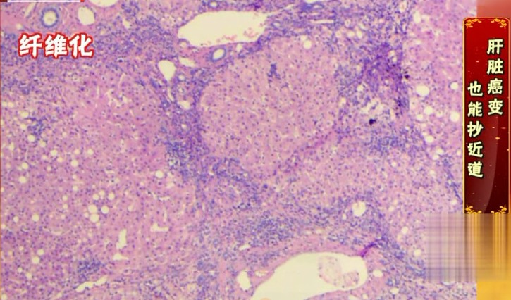
3)肝纤维化
进入肝纤维化期,肝细胞重复的坏死修复,形成疤痕,开始出现肝纤维化,肝细胞减少,肝纤维组织增多,指标异常的同时出现一系列症状,走到这一步就很难逆转了,我们能做的就是不让它再进一步往肝硬化、肝癌发展。

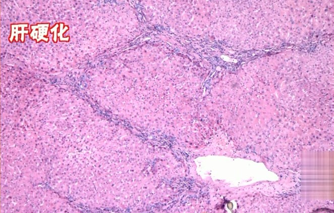
4)肝硬化
往下发展进入肝硬化期,这时候,肝功能损害很严重了,肝脏可能因肿胀而增大也可能会萎缩。

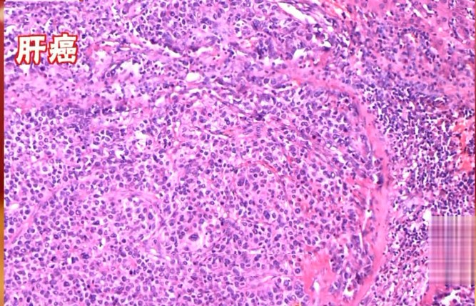
5)肝癌
在进一步恶化发展成肝癌,肝癌的发生并不一定会遵循这四步过程,在肝病变恶化的过程中,每一步都可以直接进入到肝癌。

肝脏癌变可能会超近道,在肝脏不断损害修复的过程中,出现修复障碍,比如癌细胞的突变,都可能直接进入肝癌。

在单纯性脂肪肝或非酒精性脂肪肝的基础上,有大量饮酒的喜好,有乙肝的危害,这几项危险因素同时存在,出现肝癌的速度非常快。
喝酒危害身体健康,哪怕一滴酒也伤肝
最新研究表明,只要喝酒就对人体有害,酒量好不好决定危害大小,而不是有无危害。
以往我们认为的一周摄入酒精量不能超过210克(男性)和140克(女性),并不是教您健康饮酒的标准,而是判断您是否属于酒精性脂肪肝的标准。

最新医学共识
如果没有喝酒的习惯,建议不要培养,因为酒精对身体只有害处;有喝酒习惯的人群,低度酒比高度酒伤害小,小酌比大醉伤害小,一次醉酒就是一次急性肝炎的过程,而且对不胜酒力的人群尤其如此。
误区三
没有症状的脂肪肝不需要治疗
肝脏这个器官在腹腔深处,如果等到有右上腹疼痛、消化差、甚至黄疸、蜘蛛痣等症状,一般都已经出现肝纤维化甚至肝硬化了,离肝癌就非常近而且不可逆转!

如果您或身边的人有脂肪肝,建议定期观察肝功能的变化,且主动改变高油脂高糖酗酒的习惯,加强锻炼,如果有乙肝丙肝的感染,要积极治疗。
肝脏损害的症状表现

肝脏是“解毒工厂”,同时人体的激素也会被肝脏代谢,当肝脏功能严重损害的时候,代谢功能减退,人体激素会升高,导致毛细血管的扩张,形成蜘蛛痣一样的表现,通常出现在前臂、前胸。
容易忽略的脂肪肝诱因
1药物
一些药物可以引起脂肪肝,比如治疗乳腺癌的莫西酚,类固醇激素,一些化疗药物甲氨蝶呤等。
2胰岛素抵抗
人体正常细胞利用脂类蛋白受到阻碍,脂肪类的东西在体内被利用掉的能力下降,脂肪在细胞内代谢,胰岛素是很重要的催化的激素,胰岛素无法发挥作用,脂肪代谢不完就会堆积在肝脏
3剧烈运动
4快速减肥、长期素食、饮食不规律
减肥通常会节食,减少摄入,出现营养不良,营养不良使得合成蛋白类的东西底物不够就可能导致肝脏合成载体蛋白量不够,脂肪摄入,载体蛋白量不够就会在肝脏堆积,变成了脂肪肝。
